Dental Technologies at My Harmony Smiles

Advanced Dental Technology

At My Harmony Smiles, we use advanced technologies to ensure the highest quality of care for our patients. Our state-of-the-art equipment allows us to provide precise diagnostics, effective treatments, and a comfortable experience, all while enhancing your overall dental health.

In Lab Services

In-House Dental Lab

At My Harmony Smiles, our on-site lab allows us to deliver high-quality dental restorations with efficiency and precision. By creating crowns, bridges, and other restorations right here in our clinic, we eliminate delays and ensure your dental work fits perfectly.

With our in-house lab, many treatments can be completed the same day. No waiting weeks for external labs or scheduling multiple appointments – we handle it all while you’re here. If adjustments are needed, we can make them immediately, so you leave with a flawless result.

Our priority is to make your dental experience as seamless as possible. From comfort to convenience, our in-house lab ensures you enjoy a smile that feels natural and looks amazing without unnecessary delays.

About us Our Technology - My Harmony Smiles
About us Our Technology - My Harmony Smiles
About us Our Technology - My Harmony Smiles
About us Our Technology - My Harmony Smiles
YOMI Robot Assistance

Yomi Robot

At My Harmony Smiles, we’re excited to introduce you to our newest team member: the YOMI Robot. This amazing tool helps us take care of your teeth with incredible accuracy. Think of YOMI as a very smart helper that works with your dentist to make sure everything is just right during your treatment.



Using YOMI means your dental work can be done faster and more precisely. This can lead to quicker healing times and less time in the dentist’s chair – something we all can appreciate! Whether you’re young or young at heart, YOMI’s assistance can make a big difference in your comfort and results.



Don’t worry, though – your dentist is always in control. YOMI just helps them do their job even better. It’s like having an extra set of super-steady hands helping out. With YOMI, we can give you top-notch care that fits your needs perfectly, no matter your age. Your smile is in good hands with us and our robot friend!

About us Our Technology - My Harmony Smiles

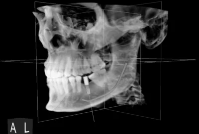
CBCT

Explore CBCT imaging at My Harmony Smiles. This detailed 3D scanning helps us plan your dental care with better accuracy.

About us Our Technology - My Harmony Smiles

3D Face Scanners

Learn about 3D Face Scanning at My Harmony Smiles. Advanced imaging to plan your treatments and show you real results.

About us Our Technology - My Harmony Smiles

Interoral Scanners

Discover Intraoral Scanning at My Harmony Smiles. Get comfortable digital impressions of your teeth without messy molds.

About us Our Technology - My Harmony Smiles

Fotona Laser

Discover Fotona Laser at My Harmony Smiles. Safe and advanced treatments for your dental and cosmetic needs.

About us Our Technology - My Harmony Smiles

Picosure pro laser

Learn about Picosure Laser at My Harmony Smiles. This advanced laser treatment helps refresh your skin with less downtime.

About us Our Technology - My Harmony Smiles

Potenza RF micro needling

Explore Potenza RF Micro-Needling at My Harmony Smiles. Advanced skin treatment that combines two powerful methods for better results.

About us Our Technology - My Harmony Smiles

PRF/Growth Factor

Learn about PRF Treatment at My Harmony Smiles. Your body's own healing factors help make your skin look younger and healthier.

About us Our Technology - My Harmony Smiles

Digital Crowns

Discover Digital Crowns at My Harmony Smiles. Get custom-made, perfect-fitting tooth caps in just one visit.

About us Our Technology - My Harmony Smiles

Be our Next Success Story!

We provides personalized dental implant solutions to help you achieve the smile you’ve always wanted.

1546+

Number of implants placed over the last year

About us Our Technology - My Harmony Smiles

4.6

Average Rating

About us Our Technology - My Harmony Smiles

98%

Satisfaction Rate

About us Our Technology - My Harmony Smiles

2700+

Number of smiles and lives changed in the last year

About us Our Technology - My Harmony Smiles

6

Location In Florida

Leaders in Dental Excellence

Meet Our Smile Transformation Specialists

Unlock your confidence with the expertise from the best dentists in Florida. Discover life-changing dental implant solutions, tailored to perfection.

About us Our Technology - My Harmony Smiles

BDS, DDS, MBA, FICOI, FAGD

Practicing since 2003, Bibek Nakarmi, BDS, DDS, MBA, FICOI, is a trusted general dentist who specializes in cosmetic dentistry and oral surgery. He warmly welcomes patients and their families to My Harmony Smile.
About us Our Technology - My Harmony Smiles
Dr. Alena began her dental career over 10 years ago in Europe. She received her Advanced Education in General Dentistry certificate from the University of Connecticut School of Dental Medicine in Farmington, CT.
About us Our Technology - My Harmony Smiles
Dr. Esther Ordonez, a dentist from Madrid, earned her DDS from Complutense University in 2015 and completed a two-year residency in Oral Surgery and Implant Dentistry at San Pablo CEU University.



See Why Patients Trust Us

Patient Reviews

See what our patients are saying! Read genuine reviews from happy smiles on Google and discover why My Harmony Smiles is your trusted partner in achieving optimal oral health and a smile you love.

  • About us Our Technology - My Harmony Smiles
    Highly recommend! It took me a while to find a dentist I like…Synergy was excellent!
    About us Our Technology - My Harmony Smiles
    Karalee Smiley

    Synergy Dental Spa

    1 month ago

  • About us Our Technology - My Harmony Smiles
    I’m finally over any anxiety going to the dentist. The staff is outstanding. Everyone here is very good at their jobs!!
    About us Our Technology - My Harmony Smiles
    Claran Einfeldt

    Lux Dental and Spa

    1 month ago

  • About us Our Technology - My Harmony Smiles
    Listen… I don’t usually write reviews, but I gotta give credit where credit is due. This place is DIFFERENT. Had implants and a bone graft done and I swear I didn’t feel a damn thing. Not exaggerating either… I was so comfortable I actually knocked out. Who falls asleep during dental work?? 😂 That alone tells you how smooth they are. The office? Immaculate. Super clean, super professional, everything just feels top tier. And I’m not gonna lie… the all-women staff? Yeah, that’s a vibe 😏 As a single guy, they made me feel right at home. Calm energy, great attitudes, no stress. And Jenni… listen… Jenni is AMAZING 🥰 Professional, gentle, and just incredibly good at what she does. Straight up elite. If you’re scared of the dentist, stop playing and go here. You’ll understand real quick. Highly recommend 👊 Jackie and Roxanne I see you are all epic 🤗
    About us Our Technology - My Harmony Smiles
    Juan Ramos

    Synergy Dental Spa

    2 months ago

  • About us Our Technology - My Harmony Smiles
    New client. Visit went well. Worked with insurance company to verify coverage and explained costs that I would have to cover. Would recommend.
    About us Our Technology - My Harmony Smiles
    C Such

    Lux Dental and Spa

    2 months ago

  • About us Our Technology - My Harmony Smiles
    I had a deep cleaning done at Synergy Dental Spa, and I honestly couldn’t be happier with the experience. From the moment I walked in, the atmosphere felt calm, professional, and welcoming. The entire team was friendly and made me feel comfortable right away. A special thank you to Tatiana, the hygienist — she was absolutely amazing. She was gentle, thorough, and explained everything clearly throughout the procedure. Deep cleaning isn’t the most fun appointment, but she made it surprisingly comfortable and stress-free. You can tell she truly cares about her patients and takes pride in her work. I really appreciate the level of professionalism and attention to detail. Highly recommend Synergy Dental Spa if you’re looking for quality care and a team that genuinely makes you feel at ease.
    About us Our Technology - My Harmony Smiles
    Denis Osipov

    Synergy Dental Spa

    2 months ago

  • About us Our Technology - My Harmony Smiles
    Last Friday I had a dental emergency. My teeth were loose. No problem. I was seen within 4 hours. A very quick turnaround for a Friday and I was in a panic. I had to volunteer the following week on Monday and Tuesday. Your smile is so important when volunteering. No problem for this dentist office. They saw me immediately. I didn’t feel rushed. A full explanation was given on oral care and I was made to feel completely comfortable. Every experience is a great experience . I’m very happy.😃
    About us Our Technology - My Harmony Smiles
    vicky white

    Synergy Dental Spa

    2 months ago

Smile Gallery

Smiles Built to Last

Explore our Smile Gallery showcasing stunning transformations achieved through advanced dental care. See how our personalized treatments have restored confidence and created lasting smiles for our patients. Begin your smile transformation journey today.

Dental Implants

About us Our Technology - My Harmony Smiles
About us Our Technology - My Harmony Smiles

Dental Implants

About us Our Technology - My Harmony Smiles
About us Our Technology - My Harmony Smiles

Dental Implants

About us Our Technology - My Harmony Smiles
About us Our Technology - My Harmony Smiles

Dental Implants

About us Our Technology - My Harmony Smiles
About us Our Technology - My Harmony Smiles
About us Our Technology - My Harmony Smiles
About us Our Technology - My Harmony Smiles

Be our Next Success Story!

We provides personalized dental implant solutions to help you achieve the smile you’ve always wanted.

Cutting-Edge Care

Experience Modern Dentistry at Its Best

We use the latest tools to give you top-notch care. Our high-tech equipment makes your visits quicker and more comfortable. From 3D scans to painless treatments, we’re always improving to serve you better. Want to see how we can make your dental care easier? Request an appointment to check out our modern approach.
Request an appointment and start your smile journey today.
About us Our Technology - My Harmony Smiles

Call Us Today

We are proud to offer multiple dental offices across Florida, ensuring comprehensive coverage for all your dental care needs.

Ocala Dental Harmony

Ocala, FL

Paddock Dental Harmony

Ocala, FL

Lux Dental and Spa

Palm Harbor, FL

Synergy Dental Spa

Trinity, FL

Harmony Smiles of Spring Hill

Brooksville, FL

Harmony Smiles of Oldsmar

Oldsmar, FL

Begin Your Smile Journey Today

Take This 60-Sec Quiz Smile Assessment to Help You Get Started.

Search Our Website

Search for services, dental procedures, and expert tips from our patient resources.

Popular searches: Dental Implants, Cleanings, Insurance.

Brighten Your Smile

Sleep Apnea

Fill out this short assessment to discover the best option to get a beautiful white smile along with a free consultation!

Brighten Your Smile

Discover the Best Option to Get a Beautiful White Smile

Fill out this short assessment to discover the best option to get a beautiful white smile along with a free consultation!

Straighten With Ease

Discover your orthodontic options to see which is the best for you

Fill out this short Smile Assessment to discover which teeth straightening option is best for you and get a custom consultation!

Complete Your Smile

Can Dental Implants Work for You?

Take this 60-Sec Quiz to see if dental implants are right for you!

Schedule Your Visit Today

Request an Appointment

Our dedicated team is here to deliver personalized attention and exceptional care designed to meet your unique dental needs.